アクアフィリング(アクアリフト)豊胸のお悩みの症例
アクアフィリング(アクアリフト)豊胸のお悩みの効果や仕上がりを写真で比較。 Total: 4 Cases-
Breast-hip Photo Gallary / No.1344
27歳 女性 アクアフィリング(アクアリフト)豊胸のお悩みのエクソソーム豊胸
-
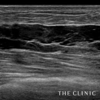
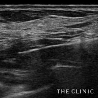
Breast-hip Photo Gallary / No.698
50歳 女性 アクアフィリング(アクアリフト)豊胸のお悩みのアクアフィリング(アクアリフト)豊胸除去
10日前に他院でアクアフィリング豊胸(片胸100ccづつ)を行いましたが、安全性に不安を感じたこと、形や硬さも気に入らないため除去を希望されました。形も悪く、しこりのようになっていました。 エコーをすると乳腺下にアクアフィリングが注入されていましたが、一部は大胸筋内に広がっていました。(写真は乳腺科に見られた大きな塊、黒い部分です。) 処置はエコー下に生理食塩水で溶解して吸引除去でき、無事、形も柔らかさも元に戻りました。治療の概要 アクアフィリング除去+コンデンスリッチ豊胸:乳腺用エコーを用いて、バスト内の状態を確認。その後、生理食塩水でアクアフィリングを溶解する。溶解仕切れない場合には、注射器で吸い出し除去。アクアフィリング の除去後、バストの皮下にコンデンスリッチファット(老化細胞や不純物を取り除いて濃縮させた自己脂肪)を注入。 施術費用 アクアフィリング 除去(会員料金):¥600,000(税込¥660,000)/溶解1部位
コンデンスリッチ豊胸(モニター価格):¥880,000〜(税込¥968,000〜)
モニターに関して詳しくはこちらをご覧ください。
▷【美バスト豊胸モニター募集】副作用・リスク 施術後には一定期間、痛み、浮腫み、内出血、こわばり等の症状が見られることがあります。また、この他にも予期しない症状が現れる可能性がありますので、術後異常を感じた際には速やかにご相談ください。
▷効果やリスクを含め、ドクターが丁寧にご説明いたします【無料カウンセリング予約】 -
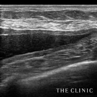
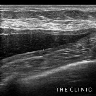
Breast-hip Photo Gallary / No.697
35歳 女性 アクアフィリング(アクアリフト)豊胸のお悩みのアクアフィリング(アクアリフト)豊胸除去
コンデンスリッチ豊胸を行うために、前もってアクアフィリングの除去を行いました。エコーで確認するとかなり厚い被膜が形成されています。 アクアフィリングは生理食塩水で溶解されるとのことで、エコー下に生理食塩水を注入しましたが、なかなか溶解できず、ヒアルロニダーゼも追加してなんとか溶解除去することができました。右側は炎症があった為か、汚く濁った状態でした。治療の概要 アクアフィリング除去+コンデンスリッチ豊胸:乳腺用エコーを用いて、バスト内の状態を確認。その後、生理食塩水でアクアフィリングを溶解する。溶解仕切れない場合には、注射器で吸い出し除去。アクアフィリング の除去後、バストの皮下にコンデンスリッチファット(老化細胞や不純物を取り除いて濃縮させた自己脂肪)を注入。 施術費用 アクアフィリング 除去(会員料金):¥600,000(税込¥660,000)/溶解1部位
コンデンスリッチ豊胸(モニター価格):¥880,000〜(税込¥968,000〜)
モニターに関して詳しくはこちらをご覧ください。
▷【美バスト豊胸モニター募集】副作用・リスク 施術後には一定期間、痛み、浮腫み、内出血、こわばり等の症状が見られることがあります。また、この他にも予期しない症状が現れる可能性がありますので、術後異常を感じた際には速やかにご相談ください。
▷効果やリスクを含め、ドクターが丁寧にご説明いたします【無料カウンセリング予約】 -
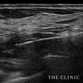
Breast-hip Photo Gallary / No.696
35歳 女性 アクアフィリング(アクアリフト)豊胸のお悩みのアクアフィリング(アクアリフト)豊胸除去
半年前に他院でアクアフィリング豊胸を行いましたが、バストの変形やしこりに悩み除去手術を希望しました。 見た目には右胸内側上部と左胸内側下部に不自然な盛り上がりとしこりを認めました。エコーではアクアフィリングのしこりが散在し、一部は塊になっていました。 アクアフィリングは生理食塩水で溶解されますが、完全には溶解せず固まっていますので、吸引して除去しました。治療の概要 アクアフィリング除去+コンデンスリッチ豊胸:乳腺用エコーを用いて、バスト内の状態を確認。その後、生理食塩水でアクアフィリングを溶解する。溶解仕切れない場合には、注射器で吸い出し除去。アクアフィリング の除去後、バストの皮下にコンデンスリッチファット(老化細胞や不純物を取り除いて濃縮させた自己脂肪)を注入。 施術費用 アクアフィリング 除去(会員料金):¥600,000(税込¥660,000)/溶解1部位
コンデンスリッチ豊胸(モニター価格):¥880,000〜(税込¥968,000〜)
モニターに関して詳しくはこちらをご覧ください。
▷【美バスト豊胸モニター募集】副作用・リスク 施術後には一定期間、痛み、浮腫み、内出血、こわばり等の症状が見られることがあります。また、この他にも予期しない症状が現れる可能性がありますので、術後異常を感じた際には速やかにご相談ください。
▷効果やリスクを含め、ドクターが丁寧にご説明いたします【無料カウンセリング予約】








コンデンスリッチ豊胸(モニター価格):¥880,000〜(税込¥968,000〜)
モニターに関して詳しくはこちらをご覧ください。
▷【美バスト豊胸モニター募集】
▷効果やリスクを含め、ドクターが丁寧にご説明いたします【無料カウンセリング予約】