- UPDATE
アクアフィリング除去で THE CLINIC が選ばれる理由
トラブル治療の経験多数
難易度が高いトラブルも積極的に受け入れ、適切な方法で解決しています。
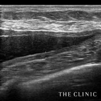
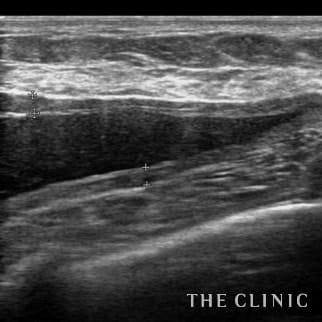
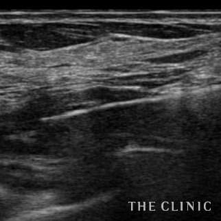
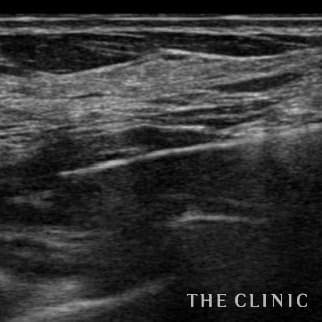
乳腺専用エコーを導入
術前後にエコー検査を行い、手術計画や結果についてを専門的に判断します。
脂肪豊胸の技術指導機関
ベイザー脂肪吸引・コンデンスリッチ豊胸の技術指導を行う医療機関です。
アクアフィリング(アクアリフト)豊胸後の主なお悩み
THE CLINIC では今、他院でアクアフィリング豊胸を受けた方からのトラブル相談が、急増しています。主なものは、しこりに関するトラブル。他院のカウンセリングで「柔らかい豊胸効果が、3~5年間続く」と言われて施術を受けたのに、注入後わずか数ヵ月でしこりができてしまったという残念なエピソードを、ここ最近頻繁に耳にするようになりました。
アクアフィリング(アクアリフト)豊胸の安全性
バストに注入した際、柔らかな豊胸効果が長期間持続し、しかも人体に優しい素材と考えられてきたアクアフィリング(アクアリフト)。しかし最近、その安全性を疑問視する声が世界各地で挙がっています。
日本美容外科学会(JSAS)は、アクアフィリング(アクアリフト)豊胸を推奨しないとの立場を正式に示しました。また、美容大国アメリカのFDA(米国食品医薬品局)や韓国の美容外科学会も同様に、アクアフィリングを豊胸目的で使用することに非常に慎重な態度を取っています。アクアフィリングの主成分であるポリアクリルアミドについては、これまでに局所および全身の発熱、乳房腫脹、発赤、乳房の変形、さらには授乳能力の喪失を引き起こす可能性が示唆されており、こうした事実を重く受け止めた判断です。
2016年、Archives of Aesthetic Plastic Surgeryに掲載されたレポート(22巻1号P.45-46)には、こうしたアクアフィリングの問題点が明確に示されています。
アクアフィリング(アクアリフト)豊胸後の注意
アクアフィリングは、しこりの他にも様々な悪影響を人体に及ぼす可能性があることが示されつつあります。注入後、すでに違和感があるならもちろん、たとえ今のところ問題がなくても、バストの状態にはできるだけ注意を払ってください。また、注入したこと自体が心理的なストレスになっているなら、まずは相談にお越しください。
アクアフィリング(アクアリフト)豊胸のお悩みに関する施術の症例
| 施術費用 (モニター価格) |
¥600,000(税込¥660,000)/溶解1部位 |
|---|---|
| 施術の副作用・ リスク |
施術後には一定期間、痛み、浮腫み、内出血、こわばり等の症状が見られることがあります。また、この他にも予期しない症状が現れる可能性がありますので、術後異常を感じた際には速やかにご相談ください。 |
| 施術費用 (モニター価格) |
¥600,000(税込¥660,000)/溶解1部位 |
|---|---|
| 施術の副作用・ リスク |
施術後には一定期間、痛み、浮腫み、内出血、こわばり等の症状が見られることがあります。また、この他にも予期しない症状が現れる可能性がありますので、術後異常を感じた際には速やかにご相談ください。 |
| 施術費用 (モニター価格) |
¥600,000(税込¥660,000)/溶解1部位 |
|---|---|
| 施術の副作用・ リスク |
施術後には一定期間、痛み、浮腫み、内出血、こわばり等の症状が見られることがあります。また、この他にも予期しない症状が現れる可能性がありますので、術後異常を感じた際には速やかにご相談ください。 |
| 施術費用 (モニター価格) |
¥600,000(税込¥660,000)/溶解1部位 |
|---|---|
| 施術の副作用・ リスク |
施術後には一定期間、痛み、浮腫み、内出血、こわばり等の症状が見られることがあります。また、この他にも予期しない症状が現れる可能性がありますので、術後異常を感じた際には速やかにご相談ください。 |
アクアフィリング(アクアリフト)豊胸のお悩みに関する施術一覧
豊胸トラブル
関連コラム
関連動画
-
シリコンバッグ豊胸の失敗原因とは?なかなか見れない中身を公開
監修:大橋昌敬
2024.11.05
-
-
監修医師 大橋 昌敬 (THE CLINIC 総院長 / 日本美容外科学会専門医 / 日本美容外科学会会長)
胸部外科学などで博士号を取得した後、高水準の医療技術を求められるカナダで、心臓外科医として活躍。帰国後は「女性に最高の美しさを提供したい」という思いから美容外科医に転身する。
豊胸、脂肪吸引などでトータルボディデザインができる希少なドクターであり、圧倒的な症例経験と、他院向け技術セミナーの開催をライフワークとしていることから、国内随一の技術と熱意の持ち主として知られる。また、新しい美容医療技術の探求にも熱心で、海外の最新技術を習得する努力を欠かさず、学会での発表も積極的に行なう。
当院には、多種多様な専門医・認定医・学会員が在籍しています
<専門医/認定医>
日本美容外科学会専門医(JSAS)、日本形成外科学会専門医、日本形成外科学会指導医、日本形成外科学会 再建・マイクロサージャリー分野指導医、日本形成外科学会 小児科形成外科分野指導医、日本泌尿器科学会専門医、乳房再建用エキスパンダー/インプラント 責任医師、日本頭蓋顎顔面外科学会専門医、コンデンスリッチファット(CRF)療法認定医、VASER Lipo認定医、VASER 4D Sculpt 認定医、TOTAL DEFINER by Alfredo Hoyos 認定医、サーメージ認定医、カンタースレッズ認定医、Botox VISTA認定医、Juvederm Vista認定医、ビスタバイクロスシリーズ認定医、日本胸部外科学会認定医、日本外科学会専門医、日本消化器外科学会消化器癌外科治療認定医、日本がん治療認定医機構がん治療認定医、マンモグラフィ読影認定医、日本抗加齢医学会専門医、日本麻酔科学会 指導医、蘇生法指導医、日本心臓血管麻酔学会 指導医、日本老年麻酔学会 指導医、日本専門医機構 麻酔科専門医、アメリカ心臓病協会BLS・ACLSプロバイダー、日本呼吸器外科学会認定登録医、日本呼吸器学会専門医
<所属学会>
日本外科学会、日本臨床外科学会、日本胸部外科学会、日本消化器外科学会、日本形成外科学会、日本呼吸器学会、日本内視鏡外科学会、日本泌尿器科学会、日本美容外科学会(JSAS)、日本美容外科学会(JSAPS)、日本乳癌学会、日本乳房オンコプラスティックサージャリー学会、日本内分泌外科学会、日本甲状腺外科学会、日本頭蓋顎顔面外科学会、日本麻酔科学会、日本蘇生学会、日本臨床モニター学会、日本心臓血管麻酔学会、日本老年麻酔学会、日本臨床麻酔学会、日本医療ガス学会、米国麻酔学会(ASA)、米国形成外科学会(ASPS)
本サイトは医療広告ガイドラインを遵守した情報を掲載しています
THE CLINIC では、医師監修のもと「医療広告ガイドライン」に則り、以下の2点を遵守するとともに、状況に応じた改善を適宜行っています。
1. 治療に関する体験談は掲載致しません。
2. 症例写真を掲載する際は、施術内容とリスク、および標準的な価格を必ず明記します。







