症例
-
アクアフィリング除去 -
アクアフィリング除去 -
感染したアクアフィリング -
大胸筋内に広がっていたため吸引 -
小さなシコリとなって散在していたため吸引
| 施術名 | アクアフィリング除去+コンデンスリッチ豊胸 |
|---|---|
| 施術概要 | 乳腺用エコーを用いて、バスト内の状態を確認。その後、生理食塩水でアクアフィリングを溶解する。溶解仕切れない場合には、注射器で吸い出し除去。アクアフィリングの除去後、バストの皮下にコンデンスリッチファット(老化細胞や不純物を取り除いて濃縮させた自己脂肪)を注入。 |
| 施術費用 | アクアフィリング除去(溶解/片胸):¥400,000(税込¥440,000)〜 コンデンスリッチ豊胸:¥864,000(税込¥950,400) モニター募集に関して詳しくはこちらをご覧ください。 ▷【美バスト豊胸モニター募集】 |
| 施術の副作用・リスク | 施術後には一定期間、痛み、浮腫み、内出血、こわばり等の症状が見られることがあります。また、この他にも予期しない症状が現れる可能性がありますので、術後異常を感じた際には速やかにご相談ください。 |
THE CLINIC が選ばれている理由
豊胸の技術指導クリニック
当院はCRF協会から国内ドクターへの技術指導を任されています。豊胸と同時にインプラントの除去についても指導中です。
他院の豊胸の失敗修正も多数経験
豊胸手術は受けても、難易度が高い失敗修正手術は受けないクリニックもありますが、当院は積極的に行っています。
乳腺用の高性能エコーを全院に導入
当院が使用するのは大学病院でも採用されている「エラストグラフィ」。乳がんの検査にも使われている乳腺用エコーです。
豊胸トラブルの治療法を学会で発表
当院はこれまでに手掛けてきた豊胸トラブルの解決事例から得た知見を多くの学会で発表し、業界をリードしてきました。
痩せた方でも対応可能
BMI※が18未満のかなり痩せた方にも、安全に失敗なく施術を行なった実績があります。
※ BMI:体重( kg)÷身長(m)2で算出する、肥満の程度を表す指標。18.5を下回ると「痩せ型」とされる。
アクアフィリング豊胸のリスク
急増しているアクアフィリング(アクアリフト)豊胸の除去施術
これまで、柔らかな仕上がりと効果の持続性が、アクアフィリング(アクアリフト)豊胸の大きなメリットだと考えられてきました。しかし、このところ当院では、他院で行ったアクアフィリング豊胸後にしこりを訴えて来院されるゲストが急増。
実は米国や韓国といった美容大国では、以前からアクアフィリング(アクアリフト)豊胸が危険視されていました。アクアフィリングに含まれる成分に関して、慢性炎症、腫瘍、皮膚潰瘍などの合併症が報告されているからです。こうした状況の中、2017年、日本美容外科学会(JSAS)もアクアフィリング(アクアリフト)豊胸を推奨しないとの立場を正式に示しました。アクアフィリングの安全性を疑問視する動きが今、世界的に広がっているのです。
このような背景から、不安を感じて、しこりなどのトラブルが起きていなくてもアクアフィリングの除去を希望する人が増えています。
THE CLINIC のアクアフィリング除去とは?
「生理食塩水で簡単に溶解できるので安心」。これがアクアフィリング豊胸やアクアリフト豊胸のメリットと考えられていますが、実際の診療で それが"簡単ではない"ことが分かりました。
THE CLINIC はこれまでに、他院のアクアフィリング豊胸やアクアリフト豊胸のトラブル対応を数多く経験。適切な溶解・除去を行うためのノウハウの蓄積があります。
乳腺用エコーでしこりを診断
アクアフィリング豊胸やアクアリフト豊胸後の乳房内の状態を、触診だけで正確に把握することは困難です。アクアフィリング豊胸後にしこり化している場合は、位置や数、状態などを調べる必要がありますが、しこりの自覚がない方からのご相談も少なくありません。
その点、THE CLINIC では全院にデジタル乳腺用エコー「エラストグラフィ」を導入。施術前に必ずエコー検査を行い、細かい情報を把握した後、適切な治療方針を決定します。
チェック項目
しこりの位置
アクアフィリング豊胸やアクアリフト豊胸は、通常なら乳腺下に注入されるはず。しかし、皮下や大胸筋内にしこりができている症例も存在します。まず位置の特定が必要です。
しこりの数
注入方法のせいなのか、アクアフィリング豊胸やアクアリフト豊胸が組織になじみやすいからなのかは不明ですが、複数のしこりが見つかるケースも。しこりの数は施術プランにも影響します。
しこりの状態
アクアフィリング豊胸やアクアリフト豊胸では被膜が形成されにくいはずですが、そうでない症例も見られます。反対に、しこり化していないケースでは組織と注入成分を見分けます。
しこりを目視しながら丁寧に除去
アクアフィリング豊胸やアクアリフト豊胸のしこりは、触診だけの曖昧な見当で取り除けるものではありません。海外では「暗闇での手術」と危険視される行為です。
THE CLINIC ではアクアフィリング豊胸やアクアリフト豊胸後のしこりを確実に溶解・除去するため、必ず乳腺用エコーを使用。最短ルートでしこりを取り除けるので、体への負担を最小限に抑えます。
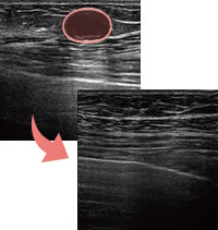
実際のエコー画像
-
施術前
アクアフィリング豊胸のしこりが散在し、一部は塊に -
溶解中
エコー下でしこりにアプローチし、確実に生理食塩水を注入 -
除去したアクアフィリング
完全に溶解しないケースでも、エコー下できれいに吸引除去
しこり化していなくても除去可能
しこりがなくても溶解・除去を希望される方は、ヒアルロン酸豊胸でも多少いらっしゃいます。しかし、アクアフィリング豊胸やアクアリフト豊胸の場合、このニーズが非常に高いのです。理由は、安全性への不安。2016年には、世界的な専門誌にも問題提起する医療論文が掲載されました。
そんなしこり化していない状態での溶解・除去も、当院では対応可能です。
THE CLINIC のこだわり
THE CLINIC ではアクアフィリング(アクアリフト)除去手術の際、安全な麻酔管理と術後のエコー確認を徹底して行っています。
徹底した安全管理下のリラックス麻酔
アクアフィリング豊胸やアクアリフト豊胸の溶解・除去は局所麻酔でも対応が可能ですが、THE CLINIC では静脈麻酔もご提案しています。しこりが複数できている場合や、広範囲に広がっている場合、生理食塩水での溶解に時間がかかるからです。
静脈麻酔下の睡眠状態において、人は恐怖や不安を感じることがないので、多くの方がこちらを選択されています。
さらに当院には麻酔担当の医師が在籍。全院のスタッフに麻酔の扱いを始めとする安全管理情報を共有しています。
術後のエコー確認で安心を提供
バスト内は実際に見ることができないので、手術でアクアフィリングやアクアリフトが本当に溶解・除去されたのか不安に思われる方も多いはず。そんな方には麻酔から目が覚めた後、乳腺用エコーを使って胸の様子を確認していただくことが可能です。しこり等が完全に除去されていることを、その目でお確かめください。
実際にあったトラブル例
厚い被膜
ヒアルロン酸より組織へのなじみが良く、被膜が形成されにくいと言われるアクアフィリング豊胸やアクアリフト豊胸でも、実際には非常に厚い被膜が確認されています。
広がるしこり
アクアフィリング豊胸やアクアリフト豊胸は、しこりが散在するケースが見受けられます。注入方法によるものか性質上の問題なのか、原因は定かではありません。
生理食塩水でも溶けにくい
生理食塩水で簡単に溶解できるとされるアクアフィリング豊胸やアクアリフト豊胸ですが、実際に行うとヒアルロン酸よりも溶けにくいと感じるケースもありました。
形がいびつなバスト
アクアフィリング豊胸やアクアリフト豊胸後には、触感が硬くなるだけでなく、胸の形までもいびつになるという被害が報告されています。
よくある質問
-
アクアフィリング豊胸を受けてしこりができてしまったのですが、どうすればいいでしょうか?
しこりが自然に消えることはないので、早い段階で除去することをおすすめします。
なお、しこりは自己判断で潰したりしないようにしてください。炎症が広がって大変危険です。必ず医師の指示に従うようにしましょう。
アクアフィリングは、ヒアルロン酸と同様に入れ過ぎると硬くなったり、しこりになる可能性がある注入剤です。当院ではまず、エコー検査でしこりの状態を確認してから、治療方法や費用のお見積もりについて説明いたします。
しこりは生理食塩水か、場合によってはしこりを溶かす酵素(ヒアルロニダーゼ)を注入することで柔らかくしてから除去します。その際、乳腺用エコーでしこりの数や位置を1つずつ確認し、取り残しがないように進めることが重要です。逆にエコー検査を伴わないしこり除去は不可能と考えます。エコーの設備の有無もクリニック選びの参考にしてください。 -
アクアフィリング豊胸後、胸が硬くなってしまいました。時間が経てば柔らかくなるのでしょうか?
注入から何週間か経過しているなら、今後柔らかくなることは考えにくいです。
実際に胸でなにが起こっているのかは、触診やエコーなどで検査をしてみないことにははっきりとしたことはお伝えできません。不安も大きいと思いますので、安心していただくためにもまずは一度、当院のカウンセリングへお越しください。適切な診断とアドバイスをいたします。当院ではカウンセリングからエコーを用いた診断を受けて頂くことが可能です。
-
現在、アクアフィリング豊胸をしているのですが、脂肪注入豊胸に変えることは可能ですか?
はい、可能です。
そのためにはまず、アクアフィリングの除去が必要です。脂肪注入はアクアフィリングの除去から最低でも1〜2週間空けてから行います。
アクアフィリングは生理食塩水で溶けると言われていますが、実際には溶けない事例もあるため、エコーでどれくらい残っているかを確認しながら丁寧に取り除いていきます。脂肪注入豊胸は自然で柔らかく、温かいバストに仕上がるため、人気のある豊胸術です。 -
数日前、アクアフィリング豊胸を受けたのですが、痛みが強く困っています。
一度、病院で診てもらうことをおすすめします。
痛みが続くとつらいですよね。実際に診察をしていないのではっきりとしたことは申し上げられないのですが、数日以上経っても続く痛みは、手術中に細菌が入り込んでしまうことで起こる感染症や、注入剤への異物反応として起こるアレルギー症状の可能性も考えられます。
当院ではエコー検査を含めた診察が可能です。カウンセリングは無料なので、ぜひ早めにご来院ください。 -
アクアフィリングの安全性が不安です。しこりなどの症状がなくても除去していただくことは可能でしょうか?
はい、可能です。
当院ではしこり化していない状態での溶解・除去も承っています。
アクアフィリング豊胸は安全性を疑問視する声が世界的に広がっており、日本でも美容外科学会がアクアフィリング豊胸を推奨しない、という立場を公表しています。体に悪影響を及ぼす危険性もあるため、特に症状が出ていなくても注入したことが心理的ストレスになっている場合は、まず一度相談にお越しください。
料 金
※当クリニックの価格は全て税込表示となっております。
THE CLINICが提供するアクアフィリング(アクアリフト)豊胸除去
施術料金
|
公的医療保険等が適応されない「自由診療」となります。表示価格は全て税込です。 |
会員価格会員価格は当院のプレミアムメンバーの価格です。 プレミアムメンバーには、ご来院時に無料でご登録いただけます。 |
ローン価格医療ローンは、審査により定められた利用可能額の範囲内で、治療費を分割で返済できるサービスです。ご希望内容や審査によって異なりますので、詳しくはお問い合わせください。 |
|---|---|---|
| 基本セット(静脈麻酔・消耗品・内服薬) | ¥100,000(税込 ¥110,000) | ¥5,500/回〜 |
| エコー診断 | ¥20,000(税込 ¥22,000) | |
| アクアフィリング除去(溶解/片胸) | ¥400,000~(税込 ¥440,000~) | |
| 術中エコー使用料 | ¥100,000(税込 ¥110,000) |
- 局所麻酔の場合は¥20,000(税込 ¥22,000)
ドクターカウンセリング
-
-
※ドクターとのカウンセリングです
(カウンセラーのみのカウンセリングではございません)
お支払い方法
4種類のお支払い方法をご用意しております。併用していただくことも可能です。
- 現金
-
- デビットカード
- (ご利用可能金額は50万円まで)
-
- クレジットカード
- VISA、MasterCard、JCB、American Express、Diners、DISCOVER、銀聯
※事前に限度額をご確認ください
-
- 医療ローン
-
※審査によりご利用可能金額が異なります
- <お申し込みに必要なもの>
-
- 身分証明書(下記、いずれかをご用意ください)
- 運転免許証・パスポート・健康保険証のいずれか1点
- 金融機関発行のクレジットカード、またはキャッシュカードのいずれか2点
- 銀行通帳(郵便口座可)
- 銀行届出印鑑
- 身分証明書(下記、いずれかをご用意ください)
施術の流れ
-
予約
お電話もしくはホームページから来院のご予約を申し込みください。
コンシェルジュがご希望の日程を調整し、お電話でご連絡します。-
- ネットからのお申し込み
-
-
+81-3-5775-3400(海外からの電話) -
- <受付時間>
- 10:00 - 19:00 完全予約制
-
-
-
カウンセリング
まずは、患者さまにお話をお伺いします。
担当ドクターが経験に基づき、
アクアフィリング(アクアリフト)豊胸を受けた時期
バストの症状
しこりの大きさと痛みの有無
ご希望の解決方法
などをご質問させていただき、お悩みの認識をさせていただきます。遠方の方や忙しくて何回もの通院が難しい方には、カウンセリングから施術が1日で受けられる「1DAY即日施術」のサービスもご用意しています。
-
エコー検査
大学病院でも導入されている乳腺用エコー「エラストグラフィー」を使って、
- しこりの位置
- しこりの状態
- 乳腺の状態
などのチェック項目をエコー画面で確認しながら、総合的に診断します。そして、バストやしこりの状態とご希望に応じて、適切な治療法や解決法をご提案します。
-
施術日決定
必要に応じ、血液検査を行います。
その後、無理のない予算をご相談のうえでコンシェルジュが費用をお見積りしますので、施術当日になって課金されるようなことはありません。
施術予定日も、仕事のスケジュールやそれぞれの方の個人的な事情などをご確認して決定し、担当ドクターのスケジュールを押さえます。 -
麻酔・施術
体への負担を考慮した静脈麻酔法が基本料金に含まれていますので、リラックスして施術を受けることが可能です。麻酔の点滴を開始すると気持ちよくなり、5分もするとウトウト眠ってしまいます。
適切な一定量の麻酔を維持して送り込んでいますので、施術中はほとんど痛みを感じることがなく、術後も入院の必要がありません。 -
施術後
術後はご気分が落ち着くまで、リカバリールームで休息いただきます。
処方薬や術後経過などのご説明の後、歩いて帰ることができますが、車の運転はお控えください。
施術概要
| 処置時間 | しこりの数や大きさ、処置によって異なります。 |
|---|---|
| 麻酔 | 意識を保ったままの低負担な局所麻酔と、眠った状態でリラックスしてできる静脈麻酔をご用意。 処置にもよるので、その方に最適な方法をご提案します。 |
| 傷跡 | 針孔(針の刺し傷)がつきますが、1ヵ月ほどで消えてなくなります。 |
| ダウンタイム | ほぼありませんが、時に内出血が出ることがあります。 |
| シャワー | 当日から可能です。 |
| 入浴 | 翌日から可能です。 |
| 治療の概要 | 乳腺用エコーを用いて、バスト内の状態を確認。その後、生理食塩水でアクアフィリングを溶解する。溶解仕切れない場合には、注射器で吸い出し除去。 |
| 副作用 リスク |
疼痛、腫れ、内出血など。 (※この他にも予期しない症状が現れる可能性があるので、術後異常を感じた際には速やかにご相談ください。) |
関連コラム
関連動画
-
シリコンバッグ豊胸の失敗原因とは?なかなか見れない中身を公開
監修:大橋昌敬
2024.11.05
関連施術
カウンセリング
幹細胞豊胸(再生医療)
脂肪注入豊胸・豊尻
プチ豊胸
シリコンバッグ豊胸
豊胸トラブル
乳房再建
-
-
監修医師 大橋 昌敬 (THE CLINIC 総院長 / 日本美容外科学会専門医 / 日本美容外科学会会長)
胸部外科学などで博士号を取得した後、高水準の医療技術を求められるカナダで、心臓外科医として活躍。帰国後は「女性に最高の美しさを提供したい」という思いから美容外科医に転身する。
豊胸、脂肪吸引などでトータルボディデザインができる希少なドクターであり、圧倒的な症例経験と、他院向け技術セミナーの開催をライフワークとしていることから、国内随一の技術と熱意の持ち主として知られる。また、新しい美容医療技術の探求にも熱心で、海外の最新技術を習得する努力を欠かさず、学会での発表も積極的に行なう。
当院には、多種多様な専門医・認定医・学会員が在籍しています
<専門医/認定医>
日本美容外科学会専門医(JSAS)、日本形成外科学会専門医、日本形成外科学会指導医、日本形成外科学会 再建・マイクロサージャリー分野指導医、日本形成外科学会 小児科形成外科分野指導医、日本泌尿器科学会専門医、乳房再建用エキスパンダー/インプラント 責任医師、日本頭蓋顎顔面外科学会専門医、コンデンスリッチファット(CRF)療法認定医、VASER Lipo認定医、VASER 4D Sculpt 認定医、TOTAL DEFINER by Alfredo Hoyos 認定医、サーメージ認定医、カンタースレッズ認定医、Botox VISTA認定医、Juvederm Vista認定医、ビスタバイクロスシリーズ認定医、日本胸部外科学会認定医、日本外科学会専門医、日本消化器外科学会消化器癌外科治療認定医、日本がん治療認定医機構がん治療認定医、マンモグラフィ読影認定医、日本抗加齢医学会専門医、日本麻酔科学会 指導医、蘇生法指導医、日本心臓血管麻酔学会 指導医、日本老年麻酔学会 指導医、日本専門医機構 麻酔科専門医、アメリカ心臓病協会BLS・ACLSプロバイダー、日本呼吸器外科学会認定登録医、日本呼吸器学会専門医
<所属学会>
日本外科学会、日本臨床外科学会、日本胸部外科学会、日本消化器外科学会、日本形成外科学会、日本呼吸器学会、日本内視鏡外科学会、日本泌尿器科学会、日本美容外科学会(JSAS)、日本美容外科学会(JSAPS)、日本乳癌学会、日本乳房オンコプラスティックサージャリー学会、日本内分泌外科学会、日本甲状腺外科学会、日本頭蓋顎顔面外科学会、日本麻酔科学会、日本蘇生学会、日本臨床モニター学会、日本心臓血管麻酔学会、日本老年麻酔学会、日本臨床麻酔学会、日本医療ガス学会、米国麻酔学会(ASA)、米国形成外科学会(ASPS)
本サイトは医療広告ガイドラインを遵守した情報を掲載しています
THE CLINIC では、医師監修のもと「医療広告ガイドライン」に則り、以下の2点を遵守するとともに、状況に応じた改善を適宜行っています。
1. 治療に関する体験談は掲載致しません。
2. 症例写真を掲載する際は、施術内容とリスク、および標準的な価格を必ず明記します。










当院では、アクアフィリングによるしこりだけでなく、しこり化する前のアクアフィリングを除去することも可能。これまで難易度の高い症例にも数多く対応してきました。乳腺用のエコーを使った診察で適切な治療を選択します。